Modified Ravitch Operation
First described by Dr Mark Ravitch in 1949 the original operation involved a cut at the front of the chest and lifting the chest wall muscles exposing the breastbone and rib cage particularly the costal cartilage. The costal cartilage (shown in blue on the model opposite) are then excised and together with a partial cut through the sternum (called a osteotomy) the front of the chest wall can be lifted forward to correct pectus excavatum or pushed backwards to correct a pectus carinatum.
The original operation has been ‘modified’ over the years and several variations of the operation described, but fundamentally it remains a ‘break and re-set’ of the front of the chest wall.
The choice of a modified Ravitch operation depends on many factors including whether it is a Pectus excavatum (with an option of a Nuss operation) or pectus carinatum (alternatively a external brace or minimally invasive surgery may be an option). Other factors that are important and may influence choice of operation include age, risk of surgery, severity or complexity of deformity including sternal twisting (rotation) and of course, patient choice.
Model of the chest with costal cartilages shown in blue in a patient with pectus carinatum
Please click on the buttons below to see and read about patients verified experiences (in their own words) and testimonials (which generally include before and after treatment photos). The pectus clinic is very grateful to all the patients who provided feedback.




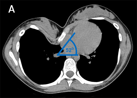
(A) Pre-Operative Chest CT demonstrating severe and asymmetric pectus excavatum with significant sternal rotation. (B) Pre-operative photos before and (C) 2 weeks following Modified Ravitch procedure. (D) Post-operative Chest X-ray showing a 2-bar internal support using a partial ‘cross-bar’ method to maximise correction

(A) Pre-Operative photos demonstrating severe and lower sternal pectus carinatum in a woman in her mid 20’s who had previously tried external bracing elsewhere. (B) 4 weeks following Modified Ravitch procedure. (C) A 3D reconstruction 1 year following the surgery showing the flattened sternum




The type of skin incision and the eventual scar can be placed either in the midline (vertical) or as sub-mammary (side-to-side) incision. Most surgeons when performing a modified Ravitch operation for pectus excavatum place something behind the sternum to ‘hold’ it forward, either a metal bar or some form of absorbable material so avoiding the need for a second (albeit small) operation to remove the bar after about 1 year.

An intraoperative picture showing closure of the wound and position of the drain below the wound after a modified Ravitch procedure for severe pectus excavatum. In this case a metal bar inserted through two small incisions on either side was placed behind the sternum

Chest X-ray following a modified Ravitch and bar in place
A small soft tissue (re-divac) drain is routinely left in at the end of the operation and very occasionally a drain is also left in the chest cavity to drain air or fluid.
The immediate recovery time in the hospital is about 4-5 days. Attention is paid to post operative pain relief and advice on how to move about to reduce risk of complications.
After discharge as with the Nuss procedure, the patient is expected to slowly resume normal but restricted activity, such as heavy lifting or strenuous exercise. Follow up is typically at two weeks and then again at three to six months after surgery and then once prior to removing the bar at around one year if a bar was used.
As with other types of pectus treatment, physical therapy following surgery is recognised to both help the recovery and to improve on some of the typical issues around poor posture and muscle tone common in pectus patients.

An intra-operative image looking toward the head of the patient, of a modified Ravitch performed through a sub-mammary incision showing cut cartilage where it joins sternum (blue arrows) and a ‘mesh’ technique (white arrows) to lift sternum (pectus excavatum). A second mesh has been placed higher up (green stars). The sternum has been partially cut (red arrows).


Pre (left) and post (right) Modified Ravitch procedure


Pre (left) and post (right) Modified Ravitch procedure
Frequently Asked Questions about the Modified Ravitch procedure for treatment of pectus excavatum or carinatum
Described in 1949 by Dr Mark Ravitch, it is an open operation with larger cuts or incisions (not using a keyhole camera) usually made on the front of the chest to correct both types of pectus deformity. It involves a ‘breaking and re-setting’ of the chest through cutting and removing the cartilage connection between the ribs and the sternum and then cutting the breastbone or sternum to then either lift up the sternum if the operation is being performed for pectus excavatum or push down on the sternum if the operation is being performed for a pectus carinatum.
Like many operations, over the years the original procedure has been modified. The Modifications from the original Ravitch procedure include leaving some of the ‘skin’ of the cartilage (the perichondrium) behind so that the cartilage would partially re-grow into its new alignment; many mini (partial thickness) cuts of the sternum (wedge osteotomies) with or without fixing the sternum into its new shape (internal fixation), and lifting the sternum using internal supports (usually metal bars) to ‘hold’ the sternum forward in pectus excavatum. If surgery being performed for pectus carinatum no metal bars are typically used, though recently using some form metal fixation to ‘hold’ or internally fixed the sternum backwards has been used. At present, most patients undergo a modified version of this procedure.
The procedure is carried out under General Anaesthetic (GA, asleep) and an incision is made at the front of the chest vertically or horizontally. The soft tissues and muscle are then lifted off the rib cage and the breastbone exposing the cartilage connection. This is then cut and partially removed. The breastbone is then cut to correct its shape and lifted forwards (if being performed for a pectus excavatum) or pushed backwards (if for pectus carinatum). Often, for pectus excavatum metal bar/s (or some other material) are placed behind the breastbone to hold forward while the chest heals in its new position. Occasionally, in pectus carinatum metal bar or plates placed in front of breastbone can be used to keep or internally fix the chest backwards. A drain/s are left in the wound and the wounds are closed with absorbable (internal) sutures (stitches) and covered with dressings. Sometimes a compressive garment is worn following surgery.
For most patients with pectus excavatum a modified Ravitch is a good choice though the alternative, the less invasive Nuss operation is often preferred as it involves smaller cuts on the side of the chest and does not involve cutting or breaking any cartilage connection or breastbone. Though originally described in children, there has been tendency to offer the modified Ravitch operation in older patients and in patients with the most severe pectus excavatum or when the sternum is significantly rotated.
For patient with pectus carinatum, particularly older patients a modified Ravitch was the usual treatment option, however, when external compressive bracing is possible that should now be considered as it is the least invasive. If not possible, alternative minimally invasive surgical (MIS) options such as the Abramson procedure may be considered or alternatively in a select group of patients’ a hybrid or combined MIS and external bracing may be appropriate.
The modified Ravitch operation has been performed for over 50 years by surgeons around the world and though there have been modifications of the original technique it provides a good way to surgically correct the pectus deformity with many scientific papers published supporting its use.
Mr Hunt, the Medical director of the Pectus Clinic is an experienced thoracic surgeon and has performed the modified Ravitch operation since 2009 and has one of the largest Pectus surgical practices in the UK. We would be happy to share our experiences and results.
Ideally yes but it is not essential. Sometimes apparent funnel (dipped in) chests may be caused by another issue or be associated with other problems. In that regard seeing your GP for an initial assessment and appropriate tests before seeing the Pectus Clinic may be helpful. Remember the Pectus Clinic is run by doctors and it is regarded as good practice that the Pectus Clinic receives a referral from your GP and it will assist in booking the appointment at Spire St. Anthony’s Hospital. Following the consultation, a clinic letter (unless otherwise requested not to) will be sent to your GP and/or referring doctor.
Yes, for most patients. You will require a Chest CT or MRI scan to allow detailed assessments to be taken of your chest wall deformity. It will also help the Pectus Clinic decide what is the best treatment option for you. In addition, depending on symptoms the Pectus Clinic may require further investigations to clarify if you have any functional issues particularly with your heart and lungs.
Instructions on preparing for your operation will be provided by the Pectus Clinic and Spire St. Anthony’s hospital and you will have an opportunity to discuss the admission process with the pre-admission team before the day of surgery. If you are taking certain medications that ‘thin’ the blood, such as aspirin or warfarin or certain painkillers such as Ibuprofen, we will discuss whether they will be needed to be stopped before the surgery.
Before: You will be admitted on the day of the operation and must fast (Nil by Mouth) before the operation. You will meet the nursing and physiotherapy team and an opportunity to discuss your stay in hospital, restrictions and exercises following surgery. You will meet the anaesthetist and discuss the general anaesthetic and particularly pain control after the operation. You are likely to be offered a spinal injection, which acts to help reduce pre-emptively the pain following the surgery.
During: Meticulous attention to surgical technique and using local anaesthetic nerve blocks will help reduce the pain after the operation.
After: You will be transferred to the recovery area and a chest x-ray will be performed to confirm the lungs are fully re-expanded. You will be transferred to the ward or the high dependent unit following the surgery. You will be offered a Patient Controlled Analgesia or PCA pain pump following the surgery. This is a drip which allows you to administer painkiller directly in which you can control based on your pain experience. It’s likely you will have a drain in the wound.
You will be in hospital typically 3 to 5 days. Antibiotics will be administrated to reduce the risk of infection and treatment to prevent blood clots (TED stockings and blood thinning medications) until you are walking. You will be encouraged to walk the next day and with the help of physiotherapy breathing exercises will be started.
Physical activity: It’s important that the day following the surgery you begin to mobilise, and you will be encouraged to sit out of bed, start walking and begin physiotherapy exercises. It helps reduce risks of blood clot and chest infections. It helps your bowels begin to work and start to feel like eating again.
Pain control: You will have a chance to discuss pain control before the surgery with the anaesthetist. The spinal injection if given before the operation helps pain control in the first and second day after surgery but begins to wear off. The PCA is the main painkiller used after surgery. In addition, regular analgesic tablets will be started. Pain is to be expected but should be acceptable and controllable. It’s important that you let us know if you are in pain, so we can tailor your pain control to your needs.
Constitutional symptoms: Your bowel habit and appetite may be affected following the surgery and sometimes a laxative may be needed. We do not routinely use a urinary catheter but occasionally passing urine in the first few days after surgery can be difficult.
Dressings and washing: You will usually be able to shower within 24-48 hours after surgery. Dressings for the wounds will be managed by the nursing team and you will be discharged with dressings advice.
Drain. A soft tissue or re-divac drain will be put in at the time of the operation to drain any blood or fluid that collects after the surgery. This usually stays in for the course of your in-patient stay and it’s quite likely you will be discharged with the drain. This is because fluid (seroma) can build up under the skin after the surgery and this needs to be drained. Additional information will be given about the re-divac drain and how this is managed in hospital and at home.
We will plan your discharge with you, your family and the nursing and physiotherapy team. There are some restrictions of physical activity and that will be discussed with you in detail. Basically, you need to walk as much as you can and continue the physiotherapy breathing exercises including incentive spirometry (a machine that your breath into that encourages you to breathe deeply). A discharge plan will be discussed with you including wound dressings and painkillers to take.
Every patient is different but on average it takes about 4 to 6 weeks to recover from the surgery though it will take up to 12 weeks before you return to full and normal physical activities including sports. Vigorous sport activities including contact sports should probably be avoided for up to 6 months after surgery. Depending on work or study commitments most patients will take 4 weeks off work / studies.
Following discharge, you will be given advice about what to expect in the coming days and weeks after the surgery.
Pain after surgery: It is normal to have some pain in the chest after the surgery and you will be given several different oral painkillers including strong painkillers to take regularly. Over the coming weeks the stronger painkillers can be reduced and replaced with Over the Counter (OTC) painkillers such as Paracetamol or Ibuprofen taken for as long as you feel the need to. Most patients take painkillers regularly for the first 4-6 weeks.
Wounds: Your surgical scar, typically at the front of the chest, and occasionally under the breast area will be covered with dressings and advice will be given prior to discharge. The dressings are kept for about a week and usually reviewed around 10-14 days after discharge. They are removed, and advice given if further dressings will be needed. There should be no stiches to remove. The wounds may be a little swollen and bruised for several weeks.
As you recover you will be able to do more and more. But there is some specific advice around movements and activities during the recovery period.
First 6 weeks: To avoid excessive pain and to reduce the risk of the bar/s used to support your chest from moving or becoming dislodged. This includes:
- Sleeping on your back and avoiding sleeping on your side
- Avoid sudden and excessive bending or twisting your upper body
- Avoid lifting / carrying heavy weights that require you to strain
- Walking and deep breathing exercises are encouraged
Next 6 weeks: Increase your level of physical activity including aerobic activities such as gentle jogging, cycling and swimming. You are able to lift / carry more weight but continue to avoid weight lifting.
After 12 weeks: You are able to return to most physical activity and sports however, if you participate in potentially violent contact sports such as rugby or martial arts some caution is required, and further advice can be offered if these sports are important to you. Waiting up to 6 months maybe advisable.
If a bar is used it is likely to cause the metal detector to alarm. You will be offered a card to carry. Alternatively, carry a clinical letter.
The surgery is invasive but if you are otherwise fit and well the risk from the general anaesthetic or operation causing a serious or potentially life-threatening complication is very low. It is important to be aware that though only rarely reported in the medical literature there have been cases of heart injury resulting in death.
Complications associated with this type of surgery include:
- Wound Problems including:
- Infection – All precautions including antibiotics during and immediately after surgery are taken but wound infection is a risk with all surgery. If infection occurs, dressings and antibiotics are usually all that is required. Rarely, further surgery to clean the wound is required.
- Seroma – Build-up of a fluid in the wound is common and can occur even several weeks after surgery. A re-divac or soft tissue drain is used following the surgery to drain this fluid and will be removed when ready, typically about 10 days after the operation. In addition, compressive dressings are used to help reduce this fluid build-up and are usually worn for a few weeks after the drain has been removed.
- Numbness – anaesthesia of the skin around the wound is normal but typically regresses spontaneously over a few months, though an area of permanent numbness may persist around the scar and on the front of the chest including potentially the nipple area.
- Healing abnormalities – Since the healing process involves a somewhat random phenomenon, sometimes scars are not, in the end, as discreet as desired, and might have very different aspects: wide, retractile, adhesive, hyper or hypo-pigmented (darker or lighter scars), hypertrophic (swollen) or even exceptionally keloid (the name given to a scar that overgrows and becomes larger than the original wound).
- Bleeding - is rare occurring in less than 1% of cases and can occur during or after the procedure. At the time of the surgery it can usually be stopped simply but may require a bigger cut to be made. After surgery, bleeding can occur and result in a haemothorax (blood in the pleural cavity) which may require a chest drain to be inserted or return to theatre to evacuate the blood.
- Pneumothorax occurs when the lung following surgery does not fully re-expand and air in the pleural space remains. In most cases it can be monitored following surgery with chest x-rays and in less than 2% of cases requires a chest drain to remove the air.
- Pleural effusion is fluid building up in the pleural cavity around the lung. Despite being rare, it can be monitored with chest x-rays and in less than 1% of cases requires a chest drain to remove the fluid.
- Pericarditis / Pericardial effusion is thought to be caused by inflammation of the lining of the sac of the heart with rare fluid built up around the heart. It is rare but unpredictable and is usually treated with rest and anti-inflammatory medication. The pericardial effusion may need to be monitored and very rarely drained.
- Displacement/movement of the bar can occur following the operation. If a bar is used, with modern modifications to the bar insertion, the risk is low at around 2%. The risk of bar displacement is typically in the first 6 weeks and can be reduced by restricting physical activities during this period. Advice will be given but sudden twisting movements particularly when lifting should be avoided. If you have sudden severe pain and feel bar movement, you must let us know.
- Unstable sternum can occur if the cartilages are too extensively cut and the sternum can then over time cause discomfort, constant or intermittent clicking or even pain. Regular painkillers, restrictions in certain activities that exasperate the abnormal movement or even further surgery to ‘stabilise’ the sternum maybe required.
- Chronic Pain after surgery has been described and is usually mild, intermittent and can be related to specific movements or activities. It is not common, rarely significant and can be treated with painkillers if needed.
Yes, probably. Following the operation, you will need to be seen within the first week or so of discharge. This is to assess your recovery, the degree of swelling and oedema and specially to look for seroma or fluid built up around the wound. Seroma happens in all patients and is normal. The re-divac or soft tissue drain that you probably have been discharged with will deal with the seroma. Typically, seromas occur for the first few weeks or so and means you need to be seen for an assessment and to remove the drain once the drainage has settled.
Following surgery arrangements will be made for a follow-up appointment usually 1-2 weeks following discharge to assess the wound and remove the drain and then once again at around 6-12 weeks after surgery. After that we would recommend an annual review and if a metal bar was used until the bar is removed.
We do recommend the bar is removed and not simply left in as once the chest wall has corrected and remodelled the bar serves no ongoing purpose. Typically, the bar is left in for 1 year and then removal is offered.
Removing the bar involves a general anaesthetic through the same incisions the bar is removed. It is typically done as a day case procedure or with a one-night stay. Very occasionally a soft tissue drain may be used in the wound though this is uncommon. The operation is regarded as minor, however there have been reports in the literature of bleeding complications when the bar is removed including rare deaths reported worldwide. Therefore, precautions including equipment to enlarge the incision are made available. Recovery is usually just a few days on painkillers and return to work/college after that.
Often a concern, the risk of relapse particularly significant relapse is low (<2%) and may be related to the bar being removed prematurely or in young patients a late (post bar removal) further growth spurt.
Please click on the buttons below to see and read about patients verified experiences (in their own words) and testimonials (which generally include before and after treatment photos). The pectus clinic is very grateful to all the patients who provided feedback.
